治療の経緯
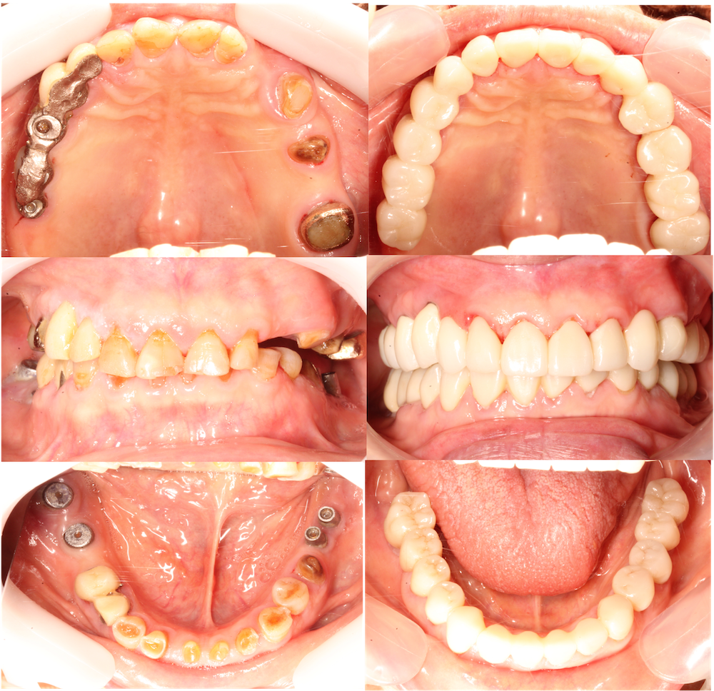
81歳女性の患者さま。
他院にて数年前にインプラント治療をしたが噛めないとのことで紹介来院されました。
上下奥歯にインプラント埋入し補綴されていましたが、何回も脱離や破折を繰り返し、来院時は奥歯が無い状態でした。原因は、咬合力が強いのと、奥歯が無いことで噛み合わせの位置がずれていました。
今回、ご高齢であるので、インプラントの再手術は行わずに、既存のインプラントを利用し噛み合わせを再構築(咬合再構成)することにしました。まず、奥歯のに仮歯を入れて、下がってしまった噛み合わせを上げて戻します。また、全ての歯を再形成し、仮歯を入れさせていただきました。新しい噛み合わせで、約2ヶ月過ごしていただいて、不快症状がないことを確認して、口腔内スキャナーで型取りを行いました。
噛み合わせが強いので、ジルコニアのブリッジ、クラウンを装着しました。
奥歯でなんでも噛めるようになり、また見た目も綺麗になりましたので、大変喜んでいただけました。
術前・術後の口腔内写真
補綴物写真、レントゲン写真

治療の詳細
| 治療名 | セラミック、ジルコニア補綴治療 |
|---|---|
| 治療説明 | 既存のインプラントを利用し上部構造の再製作と、咬合再構成により全顎補綴を行った。 |
| 治療回数・期間 | 治療期間 約4ヶ月 |
| 副作用・リスク |
セラミック、ジルコニア補綴のリスクについて セラミック、ジルコニア補綴は審美性の高い治療ですが、以下のような注意点・リスクがあります。 歯の表面を削る処置は元に戻すことができません。 強い力が加わると、欠けたり外れたりする可能性があります。 噛み合わせや歯ぎしりの状態によっては、破損リスクが高まります。 補綴物の下でむし歯が進行する可能性があります。 経年的に接着力が低下し、再治療が必要になることがあります。 |
| 治療費 |
プロビジョナル(精密仮歯)費用:41800円(19本分) CADCAMジルコニアクラウン、ブリッジ、上部構造費用:2,189,000円(22本分) |


・日本口腔インプラント学会専門医






